根の治療から1年7か月

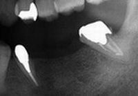
本日いらした50代男性の患者さま、初診は今から1年7か月前、下奥歯がズキズキ痛んで(左の写真;青い円)の来院でした。
その際にはお痛みの原因となっていた歯の根の治療の後、新しいブリッジを装着しました。本日はそのブリッジが外れていらしたのですが、それもそのはずです。このブリッジは仮着(仮止め)用のセメントで装着していました。
仮着3ヵ月後に咬み合わせ・セメントの状況などを確認してから長期使用耐性のあるセメントで再装着する予定でした、もちろん患者様にも了解済みでした。

あんなにひどく痛み、レントゲン写真にも大きな影を認めた歯根の病変でしたので、しっかりとした根の治療と適切な機能(咬み合わせ)の回復及びブリッジ装着後のメンテナンスが必須です。
何故なら、咬み合わせは経年的に変化していきますので、良好な治療経過を維持していくためには、その変化に対応していくことが欠かせません。
しかしながら患者さま曰く、当初のお痛みも消え去りブリッジもとても快適だったとのこと、仮止めのこともメンテナンスのこともすっかりお忘れのご様子でした。私たちの心配とは裏腹に、歯根の大きな病巣は良好な術後経過であることを知ることとなりました。


