2014年7月1日 Y'sブログ 2022年9月8日 浜田山ワイズ歯科 矯正歯科 当院のウォーターサーバーはミネラルたっぷり 浜田山ワイズ歯科のウオーターサーバーは、清涼飲料水メーカー、キリンの「AQUWISH」を導入しています。
2014年6月30日 Y'sブログ 2025年1月31日 浜田山ワイズ歯科 矯正歯科 糖類摂取量 その2 果物はビタミンが豊富ですが、糖類摂取量を考えると食べ過ぎは健康を損ないます。 糖質の過剰摂取(食べ過ぎ)は、むし歯や歯周病などの生活習慣病の元凶となっています。
2014年6月28日 Y'sブログ 2025年1月31日 浜田山ワイズ歯科 矯正歯科 ドックベストセメント治療についてその2 ドックベストセメント治療は、ドックベストセメントの鉄(Fe)イオンと銅(Cu)イオンのコンビネーションによる殺菌力により、神経を残せる可能性が高くなります。
2014年6月25日 Y'sブログ 2022年9月8日 浜田山ワイズ歯科 矯正歯科 糖類摂取量 その1 たった1本の歯にも、無駄にはできない役割があるはずです。 しかしながら、たいせつな歯を生涯にわたって守っていく際に、全身の状態を無視してどんなに精密治療を施したとしても、残念ながら良い状態を継続・維持することが出来ません。 2014年5月、…
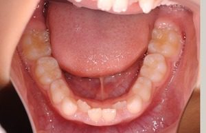
2014年6月15日 Y'sブログ 2025年1月31日 浜田山ワイズ歯科 矯正歯科 学童期からはじめる健康の基礎つくりその2 お子様の前歯が乳歯から永久歯に生え換わる時期は、ご家族がお子様の歯並びの乱れにお気付きになる時期です。
2014年6月10日 Y'sブログ 2022年10月25日 浜田山ワイズ歯科 矯正歯科 ドックベストセメント治療についてその1 ドックベストセメント治療とは、ドックベストセメントに含まれる鉄(Fe)イオンと銅(Cu)イオンのコンビネーションによる殺菌力により、虫歯を除去しないで、無菌化する治療方法です。
2014年6月1日 Y'sブログ 2022年10月25日 浜田山ワイズ歯科 矯正歯科 早期矯正治療を行っているお子様のご家族の方へ 乳歯から永久歯に生え換わる際に、前歯が曲がって生えてしまったり、前歯がきれいに揃わずに心配になって来院なさるお子様は年々多くなっています。