おとなの歯が乳歯の後ろから生えてきましたその7
その6で話題に出たお子様は、幸いにも乳歯の間に間隔が充分にありましたので早急な抜歯の必要はないことをお伝えし、お子様ご本人も、歯科医でいらっしゃるお母様も安心してお帰りになりました。

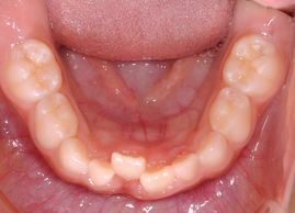
では左の写真のように、乳歯の後ろからおとなの歯が生えてきた場合はどうでしょうか?乳歯よりかなり後方から大きな永久歯が顔を出していますね。

その4にもありましたが、乳歯が抜けて、その場所に大きな永久歯が整列するにはスペースが明らかに不足しています。
なぜこのようになってしまうのでしょうか?
つづく


