セラミックスによる審美治療その1
上の前歯を綺麗にしたいの・・・
確かに下の前歯のお色と不調和のご様子です。

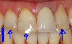
上の4本のうち、右から2本目は以前に神経を取って10年ほど前に被せたそうです。
他の3本が(青い矢印)気になるとのこと、しかしながら酷いむし歯があるわけではありません。

ご自身のたいせつな歯へのダメージは最小限にしたいですね、それが患者さまとの共通の想いでした。
矢印の3本には最小限の切削で治療可能なラミネートベニア法を選択なさいました。
患者さまとのお話しの中で、「10年前のセラミッククラウン、実はずっと満足していなかったの」との告白もありました。
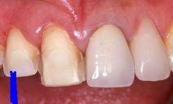
ラミネートベニアを先行して装着、お色の安定を確認した後に、新しくオールセラミッククラウンを装着させていただきました。

※写真撮影システム変更のため、3枚目(術後)のみ写真の質感が異なります。


