ホワイトニングで白い歯に!その7


新年最初の話題は、患者さまの関心が高いホワイトニングについてです。前回その6は昨年8月でしたので、実に5ケ月ぶりとなってしまいました。ホワイトニングにはオフィス、ホーム、両者併用のデュアルの3種類があることを前回お話ししました。
ホームホワイトニング、オフィスホワイトニングそれぞれに長所・欠点があります。両者を組み合わせたデュアルホワイトニングは、互いの欠点を補うことが出来るので合理的かつ結果も良好です。
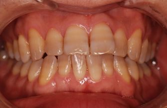
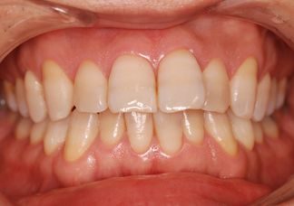
その6の女性も今回の写真(男性)もデュアルホワイトニングを行っています。
ホワイトニング方法の選択の際にはスピード、つまりいかに速く目標の白さに到達するか、を考慮することが極めて重要で、そこが術者の腕の見せ所でもあります。また、なかなか思い通りの白さを得られずに何カ月も続くのは患者さまにとって苦痛以外の何者でもありません。
ホワイトニングも歯科治療ですので、適切な診断の元、正しい知識と経験に基づいた最良な方法を実践することで、良い結果が導かれるのですね。


